Le cabinet
Notre expertise
au service de votre sourire
Dans un lieu propice à la sérénité, nous vous recevrons dans l’intimité de notre cabinet afin de vous écouter et vous proposer une prise en charge personnalisée, destinée à retrouver le sourire qui vous convient, en accord avec les principes de la dentisterie moderne.
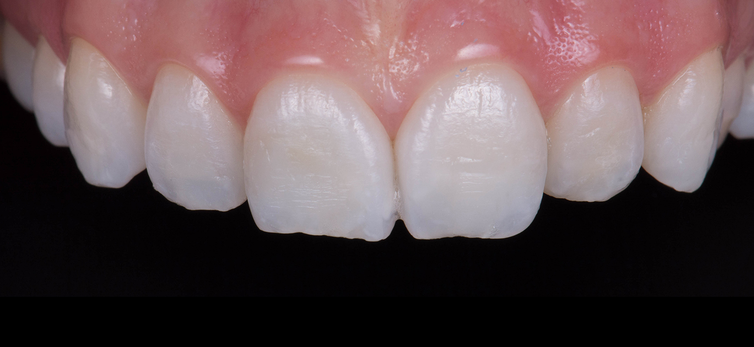
Des soins de haute qualité, dans le respect des tissus, pour des dents naturellement belles
Chaque membre de notre équipe est formé pour vous prodiguer des soins de très haute qualité et aura à cœur de vous faire partager notre passion, une vision esthétique, artistique et biomimétique de la dentisterie contemporaine.
Nos traitements
Nos traitements spécialisés
Éclaircissement
Bridge collé cantilever
Facettes
Infiltration résineuse
MIH
Réhabilitation
Aligneurs Invisibles
Nos grands principes
Votre santé au cœur
de notre préoccupation
Travail d’équipe
Au sein de notre cabinet, la prise en charge du patient est le fruit d’un véritable travail d’équipe. Nous croyons fermement que chaque aspect de votre santé bucco-dentaire doit bénéficier d’une approche collective et spécialisée, impliquant divers experts pour vous offrir des soins complets et personnalisés.
Biocompatibilité des matériaux, traçabilité & Hygiène
Notre équipe accorde une importance capitale à la biocompatibilité des matériaux utilisés, à l’hygiène rigoureuse et à la traçabilité complète tout au long de votre traitement. Parce que la santé bucco-dentaire, la tolérance des tissus et donc le résultat esthétique final de votre traitement sont intimement liés à la qualité des matériaux employés, c’est pourquoi nous sélectionnons avec soin des matériaux biocompatibles, garantissant leur sécurité et leur tolérance optimale par l’organisme.
L’hygiène est également bien sûr au cœur de notre démarche. Nous appliquons des protocoles de désinfection et de stérilisation stricts pour assurer un environnement clinique irréprochable et prévenir tout risque de contamination.
La traçabilité est un autre pilier fondamental de notre pratique. Nous assurons un suivi rigoureux de chaque matériau utilisé, de sa réception à son utilisation finale. Cette transparence garantit non seulement la qualité et la sécurité des soins que nous prodiguons, mais aussi votre tranquillité d’esprit tout au long de votre traitement.
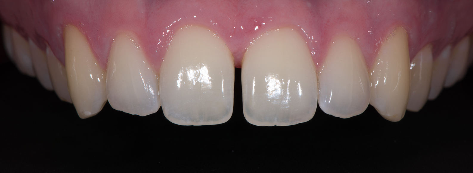
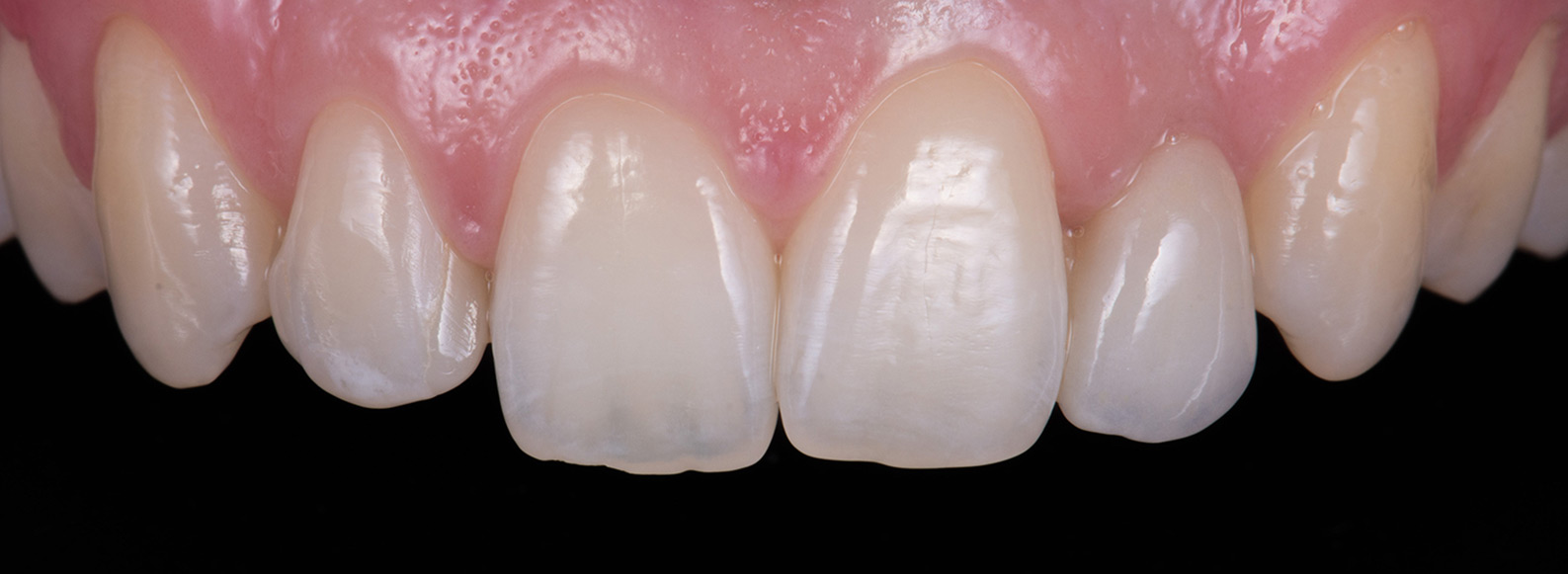
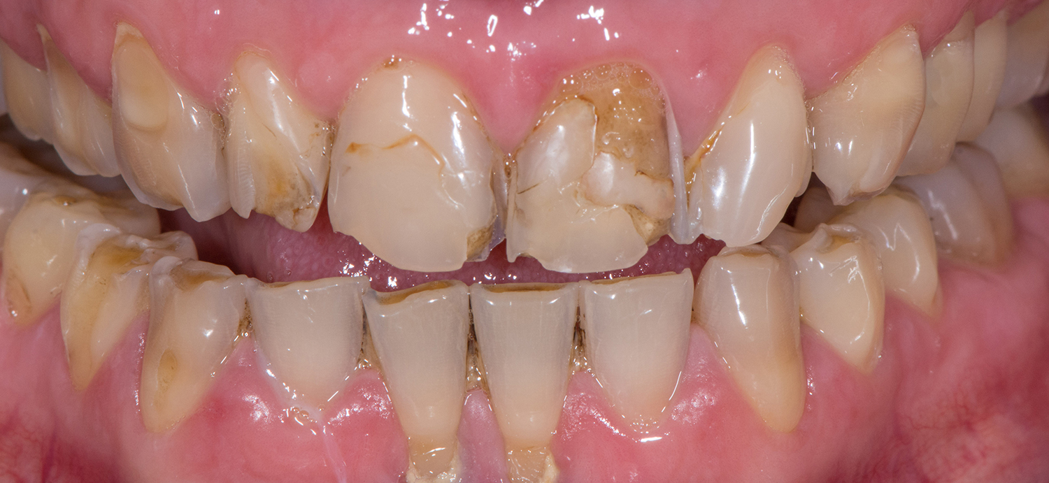
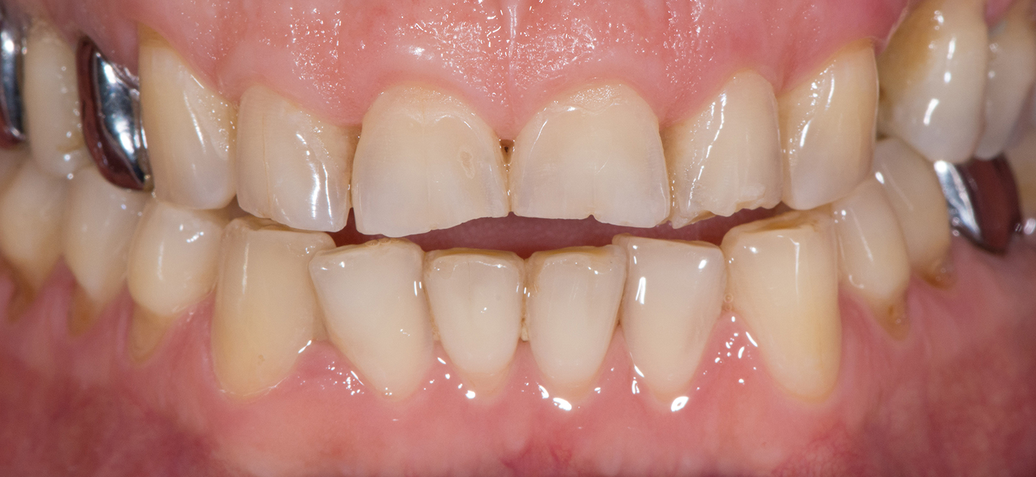
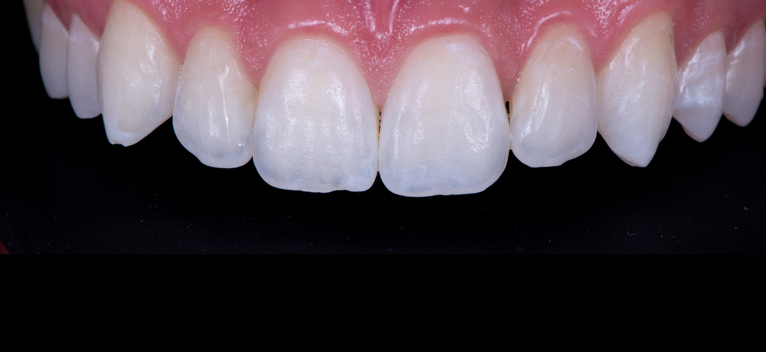
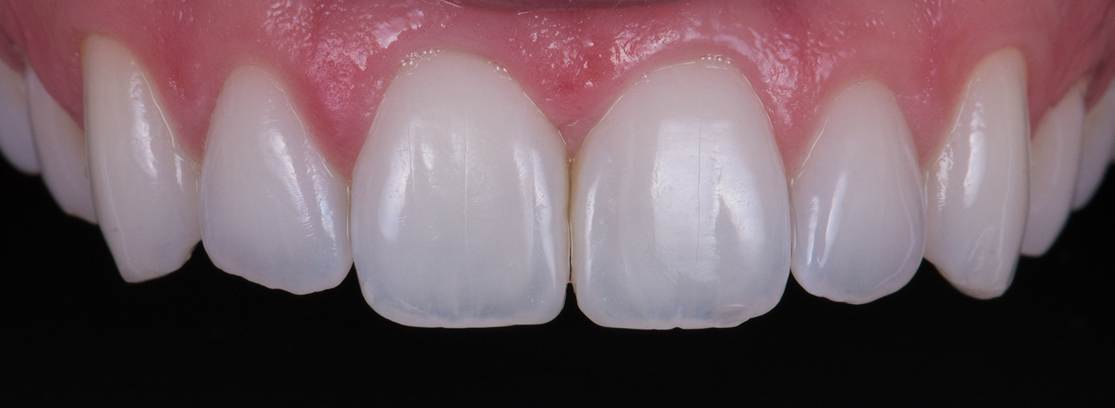
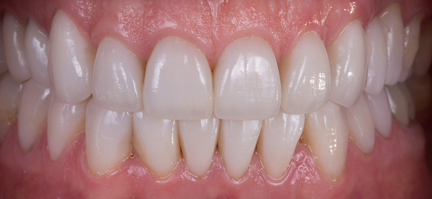
Un sourire sur mesure
Un sourire sur mesure est celui qui vous ressemblera et qui sera le plus naturel possible, comme s’il avait toujours existé. Il doit être le reflet de la personnalité de chacun et ne se contente pas de répondre à des normes ou des standards esthétiques.
Pour y parvenir, nous prendrons en compte chaque détail – technique : de la forme des dents à leur teinte, en passant par leur alignement, mais nous saurons aussi nous adapter et être le plus fidèle possible à la volonté et à l’authenticité de chacun. Un sourire ainsi pensé offre non seulement une harmonie parfaite avec les traits du visage, mais il renforce aussi la confiance en soi et le bien-être du patient.
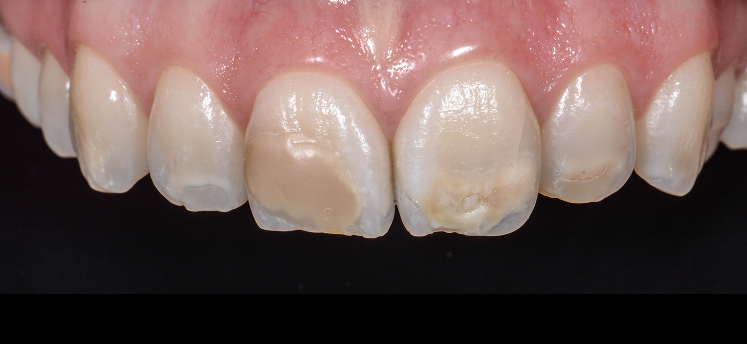
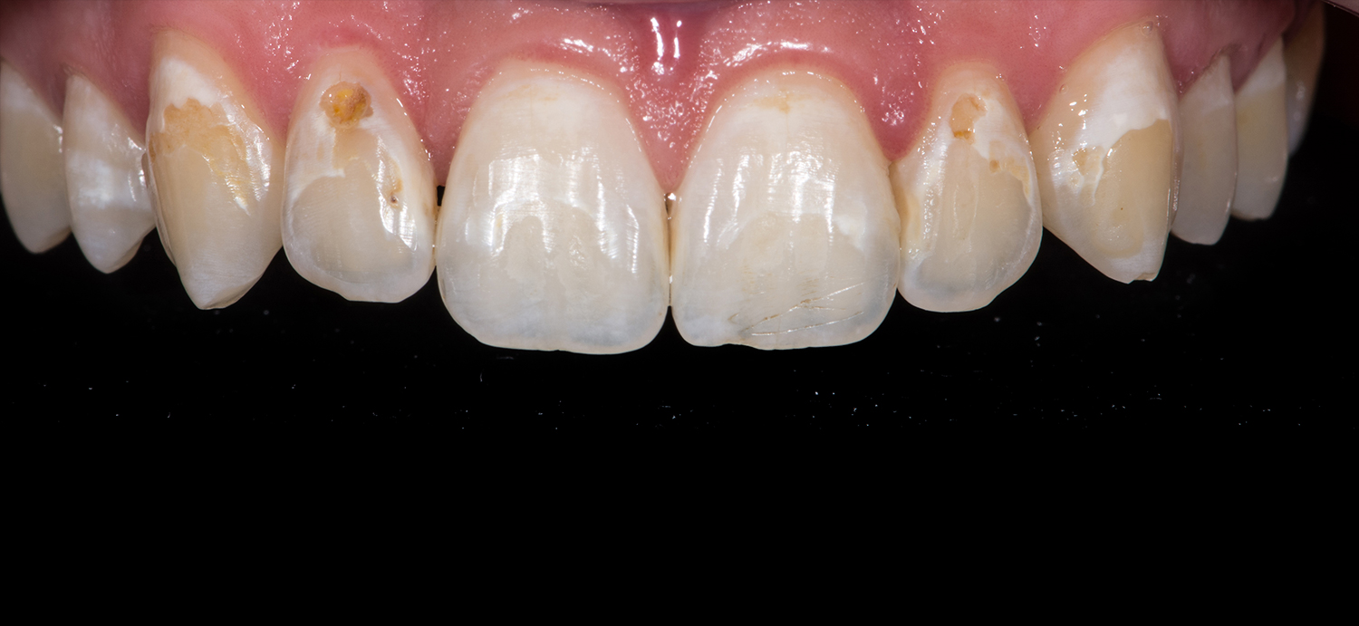
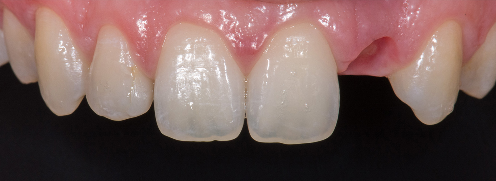
La préservation tissulaire
La préservation de l’émail : Plus qu’une simple valeur, un principe fondamental.
La préservation des tissus et plus particulièrement de l’émail est la priorité absolue de notre pratique. Au cours des trois dernières décennies, la dentisterie a démontré que les soins « conventionnels » ont un « coût biologique » (élimination d’émail sain pour des couronnes ou des plombages) qui compromet le pronostic des dents de nos patients, mais aussi leur esthétique. Les dentistes ont longtemps eu le réflexe de remplacer (par des couronnes, par exemple) ce qui pouvait être réparé par des reconstitutions partielles des dents. Quelle que soit la procédure envisagée, la technique la moins invasive et qui préserve le plus l’émail sera toujours privilégiée, les couronnes étant très rarement utilisées dans nos indications.
